faccette-evidenza

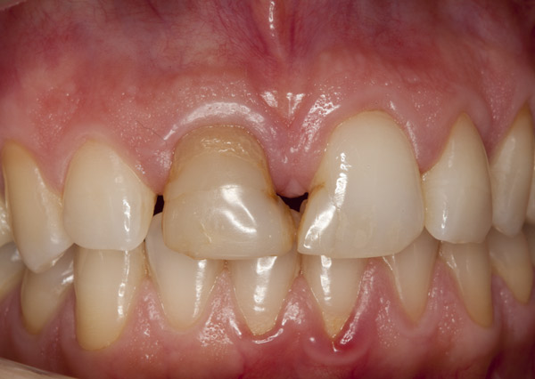
La paziente si presenta a noi con un grosso disagio estetico: denti troppo piccoli ed eccessivo spazio tra questi. Ad aggravare la situazione, inoltre, anche il tentativo di ricostruzione di denti cariati da parte di un precedente dentista che aveva solo complicato la situazione.

Proponiamo alla paziente un trattamento ortodontico per riposizionare i denti. La necessità della paziente era quella di avere un intervento risolutivo nel minor tempo possibile. Grazie alla metodica CEREC Chairside riusciamo a terminare il lavoro in poche ore senza prendere fastidiose impronte e progettando tutto prima per una precisione ed una estetica impeccabile.
Vengono quindi limati i denti per garantire lo spazio necessario all’applicazione delle faccette in ceramica.

Una volta progettate le faccette vengono fresate e personalizzate direttamente in studio. Quindi vengono posizionate ed incollate sui denti preparati precedentemente.
Da notare il perfetto contorno gengivale subito dopo la cementazione.

FRIGIONE Clinica Dentale P.IVA 02873850834. Tutti i diritti riservati. Credits Reattiva >

Parliamone insieme        0942.551740